Riabilitazione multidisciplinare del primo e secondo premolare nel quarto quadrante (denti 44 e 45)
- drandreacandotti
- 9 giu 2020
- Tempo di lettura: 1 min
Aggiornamento: 28 ago 2021
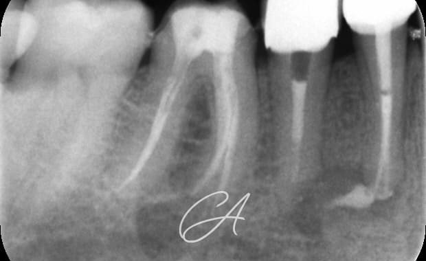
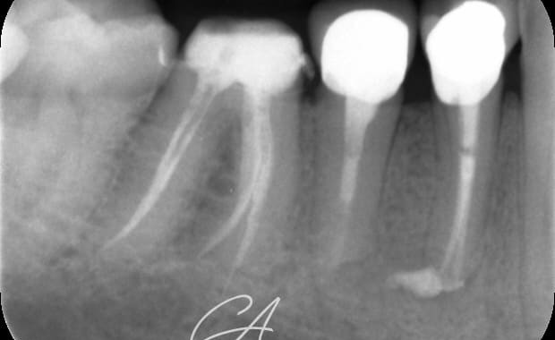
Buongiorno a tutti, oggi mi piacerebbe condividere con voi un caso multidisciplinare. Il paziente si presenta per ricorrenti ascessi in sede 45 e 44. Entrambi gli elementi vengono sagomati con strumenti espansivi. L'elemento 44 viene otturato con tecnica single cone e bioceramico mentre l'elemento 45, a causa del diametro importante (> 80) e per la forma ovale del sistema endodontico, viene sottoposto ad apical plug in MTA. Gli elementi vengono poi sottoposti a fase ricostruttiva (in seguito a disassembling delle corone) e limati con tecnica BOPT e il provvisorio viene mantenuto diversi mesi per condizionare i tessuti. Tutto bene, fino a quando non mi sono fatto realizzare le corone definitive. Ho notato subito che avrei ottenuto una vistosa disomogeneità dei livelli gengivali; ho pertanto deciso di proporre al paziente (a mie spese), un innesto gengivale libero per l'ispessimento dei tessuti gengivali. Ho quindi modificato la lunghezza e il profilo di emergenza della corona 44 e cementate entrambre le corone con cemento provvisorio in attesa della maturazione dei tessuti.
Il controllo dei tessuti gengivali è ancora precoce ma la guarigione radiografica periapicale è a 1 anno (ultima radiografia visibile).




























































Commenti